Chondrolysis

EditedFrederick A. Matsen III, M.D. By , Professor, UW Orthopaedics & Sports Medicine

Last updated: July 1, 2013

Contact
If you have questions regarding the ream and run procedure, feel free to email Frederick A. Matsen III M.D. at matsen@uw.edu.

For a recent publications on the factors causing chondrolysis, see Risk Factors for Chondrolysis of the Glenohumeral Joint and Published evidence demonstrating the causation of glenohumeral chondrolysis by postoperative infusion of local anesthetic via a pain pump.

For additional information on chondrolysis and its management, see the Shoulder Arthritis Blog.

Overview

Chondrolysis of the shoulder after arthroscopy - association with pain pumps to infuse local anesthetics after shoulder arthroscopy. Chondrolysis is a severe type of shoulder arthritis in which the cartilage of the joint is abruptly lost. It can occur in otherwise healthy shoulders after arthroscopic procedures. The risk of chondrolysis is increased when local anesthetics - either Bupivacaine (Marcaine) or Lidocaine (Xylocaine) - are infused into the joint for postoperative pain control. The inclusion of epinephrine in the infusion may further increase the risk. The risk of chondrolysis is also increased when radiofrequency or thermal energy are used in the joint.

Treatment of shoulder chondrolysis may require a ream and run procedure or a total shoulder.

Click to enlarge

Treatment of shoulder chondrolysis
Treatment of shoulder chondrolysis

Click to enlarge

Glenoid with chondrolysis

Click to enlarge

Humeral head with chondrolysis

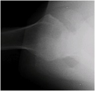
At the University of Washington Shoulder and Elbow Service we are seeing increasing numbers of patients referred with chondrolysis of the shoulder (glenohumeral joint). To date each of these cases has been associated with shoulder arthroscopy and the post-arthroscopic infusion of local anesthetics. The X-ray appearance and the surgical pathology consistently demonstrate the complete loss of articular cartilage not the focal loss that might be associated with mechanical damage from for example suture anchors. In none of these cases did infection or the use of intra-articular radiofrequency energy appear to be associated factors. Below are a series of radiographs and surgical photographs from these patients presented to demonstrate the characteristic features of this condition. Each of the patients was between 21 and 45 years of age and each had an arthroscopic procedure to address instability or a SLAP tear.

JBJS Articles:

Radiographs / X-rays

Click to enlarge

Anteroposterior View
Anteroposterior View

Click to enlarge

Anteroposterior View
Anteroposterior View

Click to enlarge

Anteroposterior View
Anteroposterior View

Click to enlarge

Anteroposterior View
Anteroposterior View

Click to enlarge

Anteroposterior View
Anteroposterior View

Click to enlarge

Anteroposterior View

Click to enlarge

Anteroposterior View
Anteroposterior View

Click to enlarge

Axillary View
Axillary View

Click to enlarge

Axillary View
Axillary View

Click to enlarge

Axillary View

Click to enlarge

Axillary View

Click to enlarge

Axillary View
Axillary View

Click to enlarge

Axillary View
Axillary View

Click to enlarge

Axillary View

Surgical Photos

Click to enlarge

Humeral Head

Click to enlarge

Humeral Head
Humeral Head

Click to enlarge

Humeral Head

Click to enlarge

Humeral Head
Humeral Head

Click to enlarge

Glenoid
Glenoid

Click to enlarge

Glenoid
Glenoid

Click to enlarge

Glenoid
Glenoid

Click to enlarge

Glenoid
Glenoid