Torn Meniscus - torn knee cartilage not limited to athletes or sports
In this article
- Basics of torn meniscus - torn knee cartilage
- Surgical Animation
- Symptoms
- Causes
- Diagnosis
- Treatment
- Research
- Summary of torn meniscus - torn knee cartilage
Basics of torn meniscus-torn knee cartilage
A torn meniscus is a tear in the cartilage of the knee. The meniscus functions to improve the fit between the femur and the tibia, to absorb shock and distribute load in the knee, and to help move lubricating fluid around the knee. The meniscus can tear from either trauma or injury or from degeneration.
The knee is made up of the femur (thigh bone), the tibia (leg bone), and the patella (knee cap). Ligaments hold the bones of the knee together and the patella lies in the quadriceps muscle in front of the knee.
Between the femur and the tibia are two pads, one on the medial (inner) side of the knee and one on the lateral (outer) side of the knee. Each of these pads is called a meniscus. See Figures 1 and 2.
The meniscus is made of fibrocartilage, which gives it a rubbery texture. Within the meniscus there are also fibers of collagen that help maintain the shape of the meniscus. The meniscus has blood supply only at its outer attachments. Therefore, about 4/5 of a meniscus has no blood supply and therefore cannot heal if it is torn.
Immediate medical attention
A torn meniscus needs immediate attention when it "locks" the knee. A knee is locked when it will neither completely bend or completely straighten because something is caught inside. Locking implies that the torn part of the meniscus has displaced into a part of the knee where it doesn't belong or fit.
Facts and myths
Some people think that only athletes can tear a meniscus. This is not true. Even people who do not consider themselves "athletes" can tear a meniscus. Some menisci (plural) tear during activities of daily living such as getting in and out of a car or squatting. Menisci also tear during participation in recreational activities such as skiing , dancing, or racquetball.
Surgical Animation
Learn more about torn meniscus and view a surgical animation below.
Not all surgical cases are the same, this is only an example to be used for patient education.
Symptoms
Initial Symptoms
Initial symptoms of a torn meniscus include well-localized pain and swelling in the knee. The pain is usually either on the inner or outer side of the knee, not around the kneecap.
When the patient recalls a specific injury that led to the pain and swelling, the swelling often does not occur until the day after the injury. The swelling is not necessarily in the same area as the pain.
Symptoms
A torn meniscus can also produce catching or locking of the knee. Sometimes the knee is stuck in midrange for days at a time. Sometimes the patient can "unlock" the knee by bending and twisting it before trying to straighten it.
Pain
A torn meniscus usually produces well-localized pain in the knee. The pain often is worse during twisting or squatting motions. Unless the torn meniscus has locked the knee, many people with a torn meniscus can walk, stand, sit, and sleep without pain. Other people find that the torn meniscus prevents them from participating comfortably in their usual daily activities.
Progression
Over 4-6 weeks, the pain and swelling may decrease and activities of daily living may become tolerable. However, athletic activities may reproduce pain and swelling. Sometimes even activities of daily living such as going up and down stairs or getting in and out of cars may produce pain in a knee with a torn meniscus.
Secondary effects
A torn meniscus often causes the knee to make extra joint fluid. There is more room in the knee for fluid when the knee is slightly bent. Therefore, people with chronic swelling tend to hold the involved knee in a bent position and develop hamstring tightness and joint contracture. Also, a piece of torn meniscus that is moving in and out of place can damage the nearby articular (gliding) surfaces and lead to arthritis.
Mobility
A torn meniscus can prevent normal pain-free motion of the knee and therefore can interfere with the patient's ability to climb stairs or get in and out of chairs and cars. Sometimes the pain in the knee causes the brain to shut off the quadriceps muscle at the knee and leads to a "giving way" sensation.
Daily activities
In addition to causing problems in activities of daily living, a torn meniscus usually interferes with the ability to participate in active sports, particularly when they involve twisting motions.
Prognosis
A torn meniscus is certainly not life threatening. Once treated, the knee will usually function normally for many years.
A meniscal tear that catches, locks the knee, or produces swelling on a frequent or chronic basis should be removed or repaired before it damages the articular (gliding) cartilage in the knee.
A meniscal tear that produces discomfort, but does catch, lock, or swell, may be less likely to damage the rest of the knee. One may choose to "live" with this type of meniscal tear instead of treating it operatively.
Conditions with similar symptoms
Sometimes the symptoms of a torn meniscus can be confused with a fragment of arthritic articular cartilage that is hanging from the surface of the bone or that has broken free in the joint.
Curability
Symptoms of a torn meniscus, particularly pain, swelling, catching and locking, can be relieved by surgically removing or repairing the torn piece of meniscus. Meniscal repair is reserved for tears in the part of the meniscus that has blood supply.
A slightly different situation exists in the case of a degenerative meniscal tear associated with osteoarthritis. Osteoarthritis in the knee is frequently associated with small degenerative meniscal tears and vice versa. Imaging studies of patients over age 45 with no symptoms in their knees have found that some people have degenerative meniscal tears that they aren't aware of.
The acute symptoms from a new degenerative meniscal tear (pain and swelling) may resolve over a few months time even though the torn area has not healed or been removed. On the other hand, when mechanical symptoms such as catching or locking are present, these symptoms are less likely to resolve without surgery.
Causes
Meniscus tears can occur in all age groups. Traumatic tears are most common in active people from age 10-45. Degenerative tears are most common in people from age 40 upward.
Degenerative Meniscal Tears
Degenerative meniscal tears are thought to occur as part of the aging process when the collagen fibers within the meniscus start to break down and lend less support to the structure of the meniscus.
Degenerative tears are usually horizontal in the meniscus producing both an upper and lower segment of meniscus. These segments usually don't move out of place and therefore are less likely to produce mechanical symptoms of catching or locking.
Degenerative meniscal tears are also more common in smokers.
Traumatic Meniscal Tears
Most traumatic meniscal tears occur as a result of a twisting injury when the knee rotates but the foot stays fixed in position.
The meniscus can also tear from extreme bending of the knee. See Figure 3.
The combination of bend, rotation, and sudden kick that occurs in some forms of martial arts is associated with lateral meniscal tears.
Traumatic meniscal tears are usually radial or vertical in the meniscus and are more likely to produce a moveable fragment that can catch in the knee and therefore require surgical treatment.
Torn Meniscus Image Gallery
Click on an image below to enlarge.
Diagnosis
A torn meniscus can often be diagnosed by a physical exam of the knee. The doctor will look for swelling, tenderness on the joint line, loss of motion, and pain with special twisting maneuvers. See Figure 4.
Diagnostic tests
An MRI can be used to confirm the diagnosis of a torn meniscus. See Figure 5.
Health care team
Orthopedic Surgeons and Sports Medicine trained primary care doctors are specially trained in the diagnosis of torn meniscus.
Finding a doctor
Doctors specializing in torn meniscus can be located through university medical schools, county medical societies, or state orthopedic societies. Other resources include the American Academy of Orthopedic Surgeons and the American Orthopedic Society for Sports Medicine.
Torn Meniscus Image Gallery
Treatment
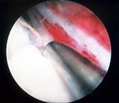
Arthroscopic surgery to remove or repair torn menisci is the definitive treatment for meniscal tears. See Figures 6 and 7.
Torn menisci that do not cause the knee to catch or lock are less likely to cause damage to the rest of the knee and pain and swelling symptoms can be treated non-operatively with over the counter pain medications.
Treatment for non-locking torn meniscus
Initial treatment for non-locking torn menisci usually involves management of the pain and swelling symptoms with over the counter pain medications.
When a torn meniscus is diagnosed, but the knee is not locked and the patient cannot identify a specific incident associated with the onset of pain, the pain can be treated initially with over the counter pain medications such as acetaminophen or ibuprofen.
The patient should avoid pivoting and squatting and should work on keeping the quadriceps muscles strong.
If the swelling and pain have not resolved in 6 weeks, they usually won't without surgical intervention.
Self-management
Avoiding twisting activities may decrease the symptoms from a torn meniscus. Additionally, one should do quadriceps setting exercises with the knee straight or mini-squats, bending only to 15 degrees, to prevent giving way and keep the quadriceps muscle from atrophying.
Exercise and therapy
Most meniscal tears cannot heal because of their limited blood supply. Nevertheless, Quadriceps muscle strengthening exercises can help prevent some of the secondary effects of a torn meniscus such as kneecap pain or the sense of buckling.
Medications
Medications such as acetaminophen, aspirin, or ibuprofen may relieve some of the pain, but will not actually treat the underlying meniscal tear. Anti-inflammatory drugs such as ibuprofen or naproxen may also decrease the associated swelling.
Joint aspiration
Removal of excess joint fluid can temporarily bring some relief from pain, but the meniscus will not heal and the fluid will usually reaccumulate.
Splints or braces
Braces may provide an increased sense of security but do not treat the meniscus per se.
Strategies for coping
Until the tear can be treated arthroscopically, patients with a torn meniscus can use non-narcotic pain relievers, and should try to do quadriceps muscle contractions to prevent atrophy that is associated with knee pain and swelling.One may also need to modify activities to avoid those that twist the knee.
Adaptive aids
Wearing an ace bandage, a knee sleeve, or brace may make the knee feel more secure.
Surgery
Surgery is the definitive treatment for torn meniscus. The surgery is done arthroscopically and will include either removal or repair of the torn part of meniscus. Repair can be done only when the tear lies in or just adjacent to the vascular zone of the meniscus.
Surgery for traumatic meniscal tear
A traumatically torn meniscus usually requires arthroscopic surgical treatment.
This minimally invasive surgical treatment involves either removing or repairing the torn segment of meniscus using an arthroscope.
Because only the outer 20-25% of the meniscus has blood supply, repairs are successful when the tear occurs in this vascular region of the meniscus. Tears in the non-vascular region are unlikely to heal and therefore are removed.
Surgery for degenerative meniscal tear with osteoarthritis
In the case of a degenerative meniscal tear associated with osteoarthritis, the expected outcome after surgery is different. Although arthroscopically treating the torn meniscus and simultaneously trimming away any shaggy articular cartilage caused by the arthritis may eliminate mechanical symptoms such as catching or locking, the non-mechanical symptoms of osteoarthritis ( stiffness, achiness, weather-related pain) may persist.
Therefore, in the setting of a degenerative meniscal tear with osteoarthritis, the patient and doctor also need to discuss treatment alternatives for the arthritis such as injections into the knee or partial or total knee replacement.
Resources
More information about torn meniscus may be found at the web site of the American Society for Sports Medicine.
Research
Surgical research
Current research on the treatment of torn meniscus centers around the best method for repair of a torn meniscus and placement of a substitute meniscus when a total meniscal removal has been done previously.
Summary of torn meniscus-torn knee cartilage
- Meniscal tears occur from trauma or degeneration or a combination of the two.
- Meniscal tears can produce knee pain, swelling, catching, and locking.
- Most meniscal tears do not heal because they are in an anatomic area that has no blood supply.
- The definitive treatment for meniscal tears is arthroscopic surgery.






